비중격만곡증이란 코 안쪽 비강을 둘로 나누는 벽인 비중격이 휘어진 상태를 말합니다 이 질환은 선천적이나 후천적으로 발생하는데요 증상이 심해지면 수술을 통해 치료를 받아야 합니다 비중격만곡증 증상과 수술에 대해 알아보도록 하겠습니다

비중격만곡증은 성장과정에서 비중격 연골이 곧게 뻗지 못하고 한쪽으로 휘어지면서 나타나는 경우가 많으며 성인의 약 70% 이상이 가지고 있는 흔한 질병입니다 평소에 자주 코막힘 증상을 느낀다면 방치하지 마시고 병원진료를 받아보는 것이 좋습니다
비중격만곡증 원인
| 출생으로 인한 원인 | 출산시 산도의 압박으로 인해 코의 비중격이 휘어지는 경우 |
| 후천적인 원인 | 코에 외상이 가해진 경우 콧속에 물혹,종양이나 이물질이 장기간 자리잡아 뼈와 연골이 변형되는 경우 |
비중격만곡증 증상
비중격이 가운데 똑바로 있으면 공기의 흐름이 원활하게 흐르기 때문에 큰 문제가 없지만 한쪽으로 휘어버리는 비중격만곡증이 되면 한쪽은 좁아지고 한쪽은 넓어지면서 여러 가지 다양한 증상과 질환을 유발합니다 이렇게 한쪽이 좁아지면서 가장 불편한 점은 코막힘, 입으로 숨을 쉬는 구호흡, 축농증, 염증이 생겨 비염등이 자주 나타나게 됩니다
축농증이나 비염 같은 경우 약물치료로 어느 정도 호전이 되기는 하지만 비중격만곡증은 비중격이 휘어진 상태이기 때문에 수술이 최고의 치료방법이라고 합니다 비중격을 교정하는 것은 뼈를 건드리며 신체의 코 안쪽은 점막으로 되어있기 때문에 다른 피부와 달리 점막의 경우 봉합이 간단하지 않습니다 또한 코는 외관상으로 매우 중요한 부위이기 때문에 수술을 하기 전에 여러 병원의 상담을 받아보는 것이 중요합니다
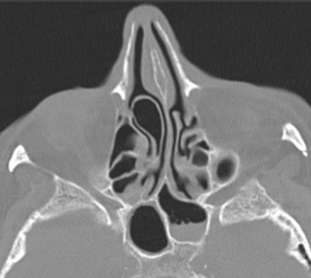
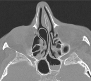
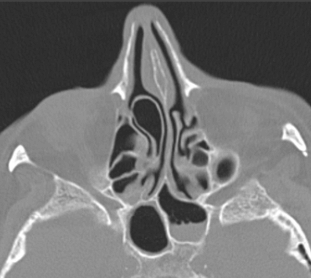
비중격만곡증 검사와 수술
비중격만곡증의 경우 수술 전 다양한 검사를 하는데요 X-ray, CT, 후각통기도검사, 알레르기검사, 미각검사, 후각검사, 폐활량검사, 심전도검사, 혈액검사, 혈압검사등을 진행합니다 진행 후 전신수면마취가 아닌 국소마취를 통해 진행되며 수술시간은 30분 내외라고 합니다 개인의 코 상태에 따라 수술시간은 늘어나거나 줄어들 수 있으며 수술 후 코 점막의 상처가 아무는 시간은 2주 정도 소요됩니다 이 시기에 코안에 분비물이 생기거나 부울수 있으며 통증이 나타날 수 있는데요
수술 후 코세척이나 주의사항을 잘 따라야 합니다 한 달 반 정도가 지나면 거의 완치가 된다고 하며 수술비의 경우 가지고 계신 보함이 있다면 혜택을 받을 수 있으니 수술 후에 문의하시면 됩니다
마치며
비중격만곡증 증상과 수술에 대해서 알아보았는데요 우리가 살아가면서 숨을 쉰다는 것은 아주 중요한 일입니다 이렇게 코의 비중격이 휘어진 경우 숨을 편하게 못 쉬기 때문에 어린이의 경우 학업성적이 떨어지거나 주의산만이 나타날 수 있다고 합니다 물론 성인 되어서도 비중격이 휘어진 경우 매부리코나 휜 코등이 나타날 수 있으니 평소 코막힘이 있으신 분들은 병원진료를 받아보시길 바랍니다
'건강' 카테고리의 다른 글
| 자동차부상등급 5급에서 8급,자동차부상급수 (0) | 2023.06.25 |
|---|---|
| 자동차사고 부상등급 1급~4급 (0) | 2023.06.25 |
| 지방간 증상과 치료,지방간에좋은음식 (0) | 2023.06.25 |
| 기면증증상과 치료,기면증자가진단 (0) | 2023.06.24 |
| 저혈압증상과 원인,저혈압관리 (0) | 2023.06.20 |
| 모공각화증 증상과 모공각화증 완화법 (0) | 2023.06.19 |
| 자궁내막증이란,자궁내막증 증상과 치료 (0) | 2023.06.17 |
| 크론병증상과 치료 (0) | 2023.06.17 |